Les problèmes de ponte
0 vues
Le mal des pondeuses

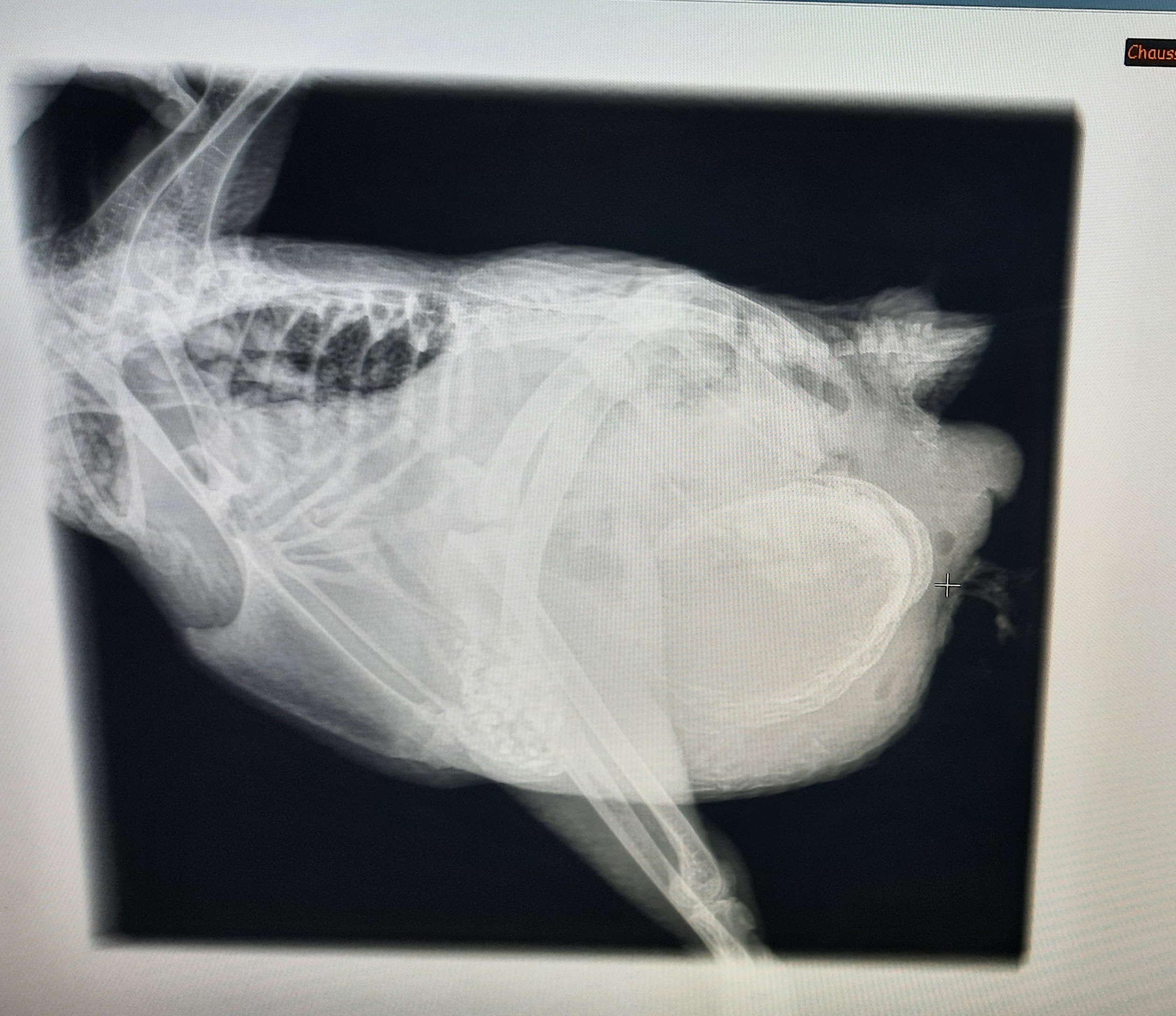
Les poules pondeuses sont sensibles aux problèmes de ponte. La raison est simple: ces poules sont considérées comme des machines qui doivent pondre un oeuf, voire deux, par jour, tous les jours de l'année. La ponte intensive use les poules, et à la longue, cela entraine divers problèmes: oeufs à coquilles fragiles ou sans coquilles, position de douleur, oeufs coincés, éjection de fibrines... Si cela n'est pas détecté à temps, cela peut entrainer une péritonite, et la mort de l'oiseau. Si vous observez bien vos poules, vous verrez assez vite s'il y a un problème. Sachez tout de même que les poules sont des oiseaux de proie, et qu'elles ne montrent donc pas leurs faiblesses: si vous voyez quelque chose (typiquement une position de douleur: la poule reste immmobile en boule), c'est que c'est déjà loin et qu'il faut agir! Référez-vous à un vétérinaire spécialiste qui pourra faire les examen nécessaires pour visualiser le problème (radio ou échographie) et mettre en place le traitement adéquat.
L'opération
Si la poule semble encore en forme, et que le problème est pris à temps, il est possible de la sauver.
Si la situation n'est pas trop grave (pas d'oeuf coincé ou de masse), un traitement antibiotique et anti-inflammatoire peut être mis en place, avec éventuellement la pose d'un implant et/ou une ponction si nécessaire.
Par contre si la situation est grave et qu'il y a péritonite, oeuf coincé ou masse détectée à la radio, il est possible de faire opérer la poule.
Ne confiez une opération de ce genre qu'à un vétérinaire qualifié NAC spécialiste des poules! Un vétérinaire "classique" chiens/chats qui n'a pas de formation complémentaire agréée poules n'est pas compétent pour ce genre d'opération compliquée, même si pour faire plaisir il dit le contraire!
C'est une opération risquée dans tous les cas, et malgré les meilleurs soins il n'est pas garanti que la poule se réveillera: cela dépend de divers facteurs et notamment de l'état interne de celle-ci (malheureusement il arrive que pendant l'opération, le vétérinaire découvre d'autres problèmes (tumeurs), et de son état général: plus la poule est en forme et prise à temps, plus grandes seront les chances de réussite.
L'une de nos poules récemment sortie d'élevage présentait des problèmes de ponte et a été opérée après la détection d'une masse à la radio...
Voici ce qui a été extrait de son abdomen.
des fibrines, et une accumulation de jaunes d'oeufs dans l'oviducte, qui a été enlevé pour la sauver: la poule ne parvenait plus à faire un oeuf normal et ils s'accumulaient dans l'oviducte sans jamais sortir. Il était donc grand temps de l'aider!
Même si en ouvrant, le vétérinaire a découvert des tumeurs sur ses intestins, nous avons décidé de lui laisser sa chance et de la laisser se réveiller.

La convalescence

Bellay a eu beaucoup de chance.
Mise sous perfusion, elle a pu recevoir de la visite rapidement. Hé oui, comme pour les gens, le soutien est important!
Elle est sortie de la clinique quelques jours après son opération.
En isolement quelques temps, les fils ont été retirés environ 3 semaines après l'opération.
Les poules sont des êtres extrêmement résilients: même si la situation paraît désespérée, elles sont vraiment fortes et déjouent souvent, d'après notre expérience, les diagnostics pessimistes des vétérinaires. Bellay ne pondra plus jamais, mais elle vivra!
Malgré ses nombreuses tumeurs, et 6 mois après son opération, Bellay est devenue une magnifique poule au beau plumage et coule aujourd'hui des jours heureux auprès des siens, nous l'espérons pour de nombreuses années!